Image
Lé­gion­nel­lose
02.02.2023

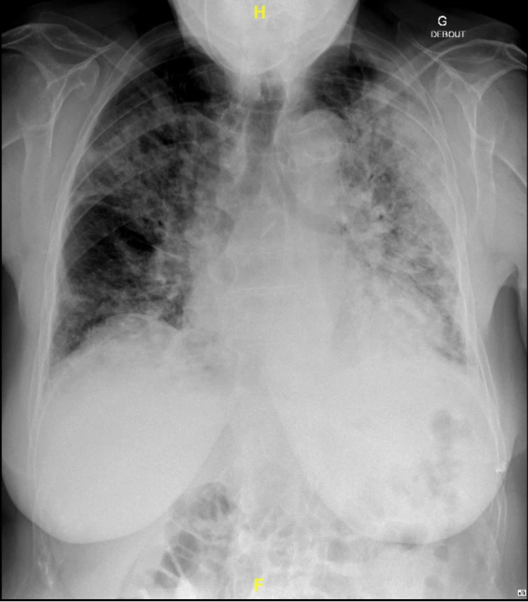
Madame Y est une patiente de 63 ans se présentant aux urgences pour dyspnée, toux et baisse de l’état général. L’examen clinique met en évidence une désaturation importante. La radiographie du thorax révèle un infiltrat alvéolaire panlobaire gauche avec un bronchogramme aérique. Les antigènes urinaires sont positifs pour une légionnelle. Face à un syndrome de détresse respiratoire aigu la patiente est intubée. Son évolution est favorable sous Levofloxacine.

2 – 15% des pneumonies acquises en communauté nécessitant une hospitalisation aux soins intensifs sont des légionelloses. La légionnelle est un pathogène intracellulaire, plus souvent associée à des pneumonies sévères que les autres pathogènes respiratoires.

Les facteurs favorisant une sévérité plus importante sont les âges extrêmes, l’acquisition nosocomiale, les comorbidités (maladie pulmonaires chroniques, immunodéficience, néoplasies, diabète, …) et un retard dans l’initiation d’une antibiothérapie adéquate.

Les signes cliniques évoquant une légionellose sont peu spécifiques et se retrouvent dans les autres pneumonies acquises en communauté. On l’évoque cependant face à plusieurs signes ; l’étendue de l’infiltrat, l’hyponatrémie, l’état confusionnel, les symptômes digestifs. La couverture antibiotique face à toute pneumonie sévère doit couvrir la légionellose jusqu’à l’exclusion de celle-ci. Les classes d’antibiotiques actifs contre la légionellose sont les quinolones et les macrolides.