Un patient de 18 ans, en bonne santé habituelle, se présente aux urgences en raison de douleurs basithoraciques gauches survenues après un coup de coude sur les côtes en jouant au foot. Il développe par la suite des douleurs importantes, une sensation de dyspnée et une lipothymie orthostatique.
À l’examen clinique, le patient est hémodynamiquement compensé et présente un abdomen diffusément douloureux, sans défense ou détente ainsi qu’une loge rénale gauche douloureuse.
L’échographie POCUS E-FAST retrouve uniquement une lame de liquide libre péri-hépatique et péri-splénique avec une plage hypodense au pôle inférieur de la rate.
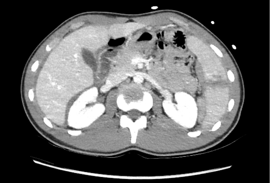
Le rapport du CT thoraco-abdominal fait état de lacérations post-traumatiques spléniques étendues classées grade IV selon AAST (cf tableau 2), atteignant le hile splénique, associées à un probable hématome sous capsulaire splénique médial et un saignement actif veineux au sein de lacération, un hémopéritoine abondant de localisation péri hépatique, péri splénique ainsi que dans le petit bassin et du liquide libre de densité hématique au sein de la gouttière pariéto-colique gauche.
Les ruptures spléniques peuvent être divisées en deux catégories ; traumatiques ou non traumatiques. Parmi les causes traumatiques, le trauma direct et les chutes sont les causes les plus fréquentes. La rupture peut se présenter immédiatement après la chute ou après un délai. Les causes non traumatiques sont rares et d’étiologies variées (cf tableau 1.) L’échographie est un bon examen pour détecter du liquide libre (dès 100ml) avec une sensibilité de 90%, mais ne pourra pas formellement exclure une lésion splénique. Le CT-scanner reste l’examen de choix.
Le traitement dépend de la sévérité des lésions, mais le traitement conservateur est privilégié chez 60-90% des patient·es. Dans les cas de grade plus élevés ou pour un·e patient·e instable, un traitement d’embolisation par radiologie interventionnelle sera préféré. Si ces stratégies ne fonctionnent pas, une laparotomie sera proposée.