Image
Obstruction extrinsèque de l’uretère distal
16.03.2026

Une jeune adulte présente des douleurs aiguës de la fosse iliaque droite apparues le jour-même, irradiant dans la loge rénale droite de manière intermittente et associées à une pollakiurie sans autre plainte.

Au status, elle est afébrile, l’abdomen est souple, sensible en fosse iliaque droite sans défense ni détente, avec un signe de McBurney et un test du psoas négatifs, une loge rénale droite sensible.

Au laboratoire, la FSS, la créatinine et la CRP sont normales. La bandelette urinaire retrouve une hématurie microscopique isolée.

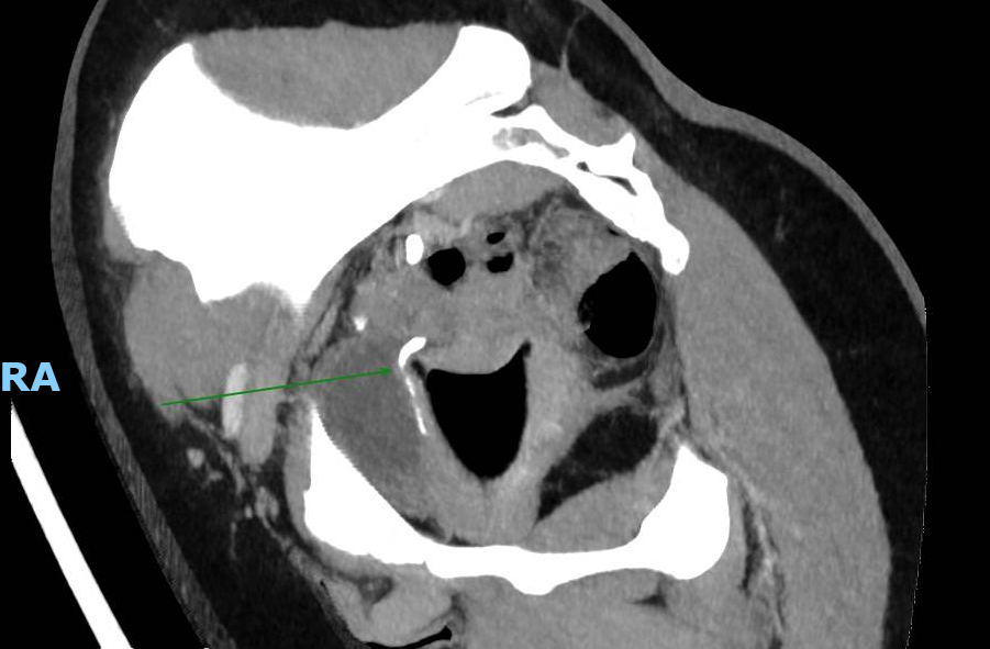
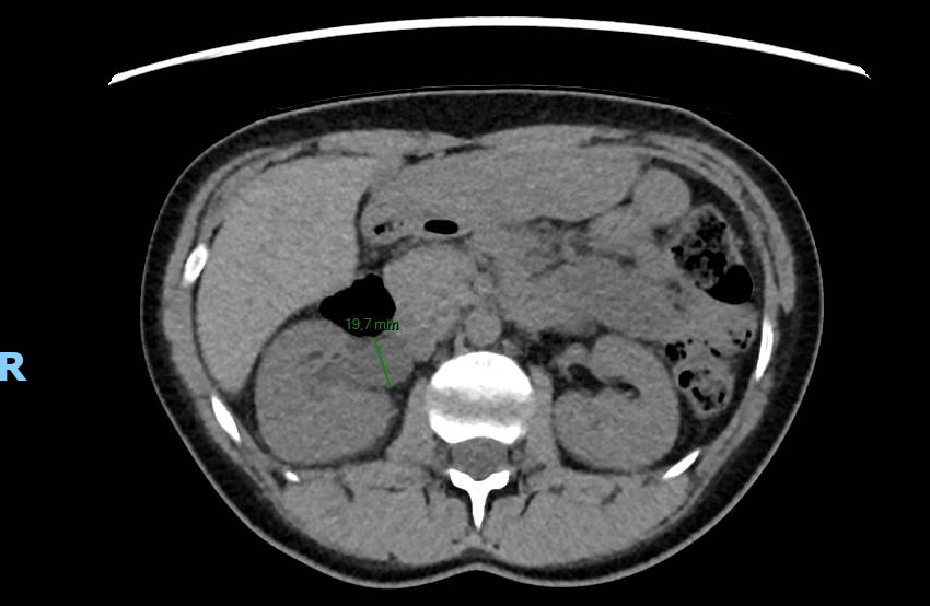
Le CT-scanner réalisé devant une colique néphrétique montre une compression urétérale droite extrinsèque sur une cup menstruelle. Cette dernière est retirée améliorant rapidement les douleurs.

Il existe 5 cas similaires publiés entre 2018 et 2020 (1), tous concernant l’uretère droit. Une étude ex-vivo comparant 14 marques de cup, de tailles et formes différents, a démontré qu’une cup trop grande ou trop rigide pouvait être la cause d’une compression des voies urinaires, en plus d’un inconfort (2).

Les causes les plus fréquentes d’obstruction de l’uretère distal sont les calculs rénaux, les tumeurs pelviennes et abdominales, les sténoses urétérales et les complications chirurgicales.

Dans les causes plus rares, on retrouve des cas de constipation sévère (3) ou des causes vasculaires (artère ombilicale persistante ou élongation des vaisseaux pelviens chez les cyclistes) (4).

Ce cas et la littérature qui y est liée démontre l’importance d’exclure la présence d’une cup en cas de colique néphrétique chez les femmes pré-ménopausées.

Image proposée par Ophélie Viret et Perrine Truong, CHUV.