Image
Rupture du tendon rotulien
20.10.2025

Un patient de 46 ans en bonne santé habituelle se présente après avoir glissé et chuté en trottinette. Le mécanisme exact de la chute est peu clair. Après la chute, le genou était fléchi et le patient n’a pas pu se relever ni faire une extension complète. Une extension passive par les ambulanciers a pu être réalisée sur site.

Depuis, le patient rapporte une sensation d'un "genou qui lâche" associée à une douleur et impotence fonctionnelle.

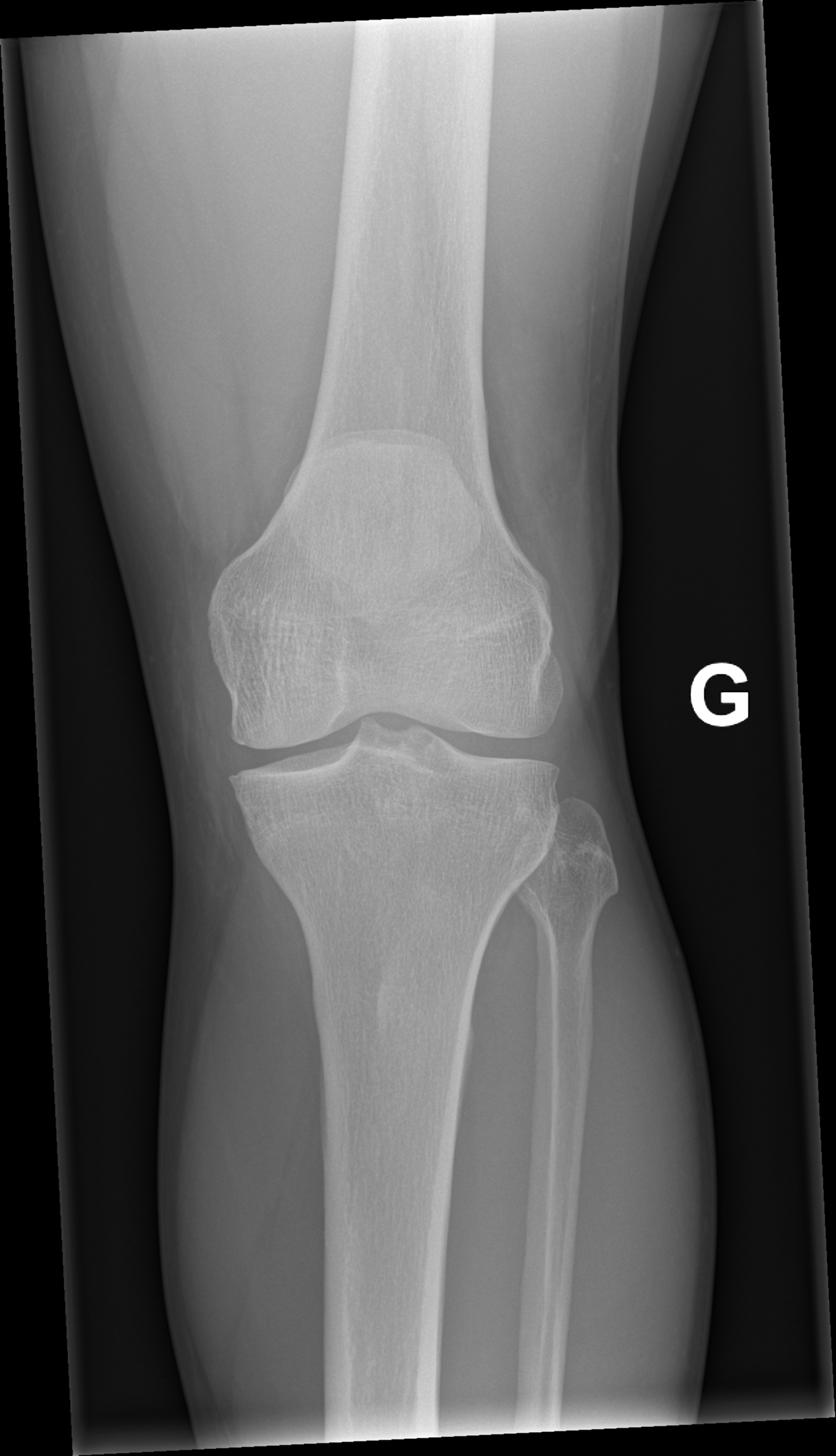
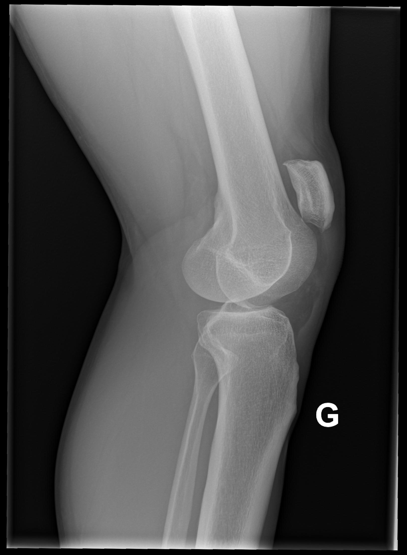
A l’examen clinique, le genou est légèrement tuméfié. La rotule semble ascensionnée et un creux est palpé sur le trajet du tendon rotulien. L’extension active est impossible. Sur les radiographies standards face et profil du genou, la rotule est ascensionnée.

Lorsque l’incidence axiale (ou défilé fémoro-patellaire, genou fléchi à 30°) est réalisée, l’image est décrite comme un « lever de soleil » avec une disparition de l’interligne articulaire et la superposition de la rotule avec les condyles fémoraux.

L’ultrason ou l’IRM peut confirmer le diagnostic de lésion du tendon rotulien et de différencier une rupture partielle d’une rupture complète. Le traitement est chirurgical.

Image proposée par le GHOL.