Image
Pneumo­­thorax iatrogène
22.08.2024

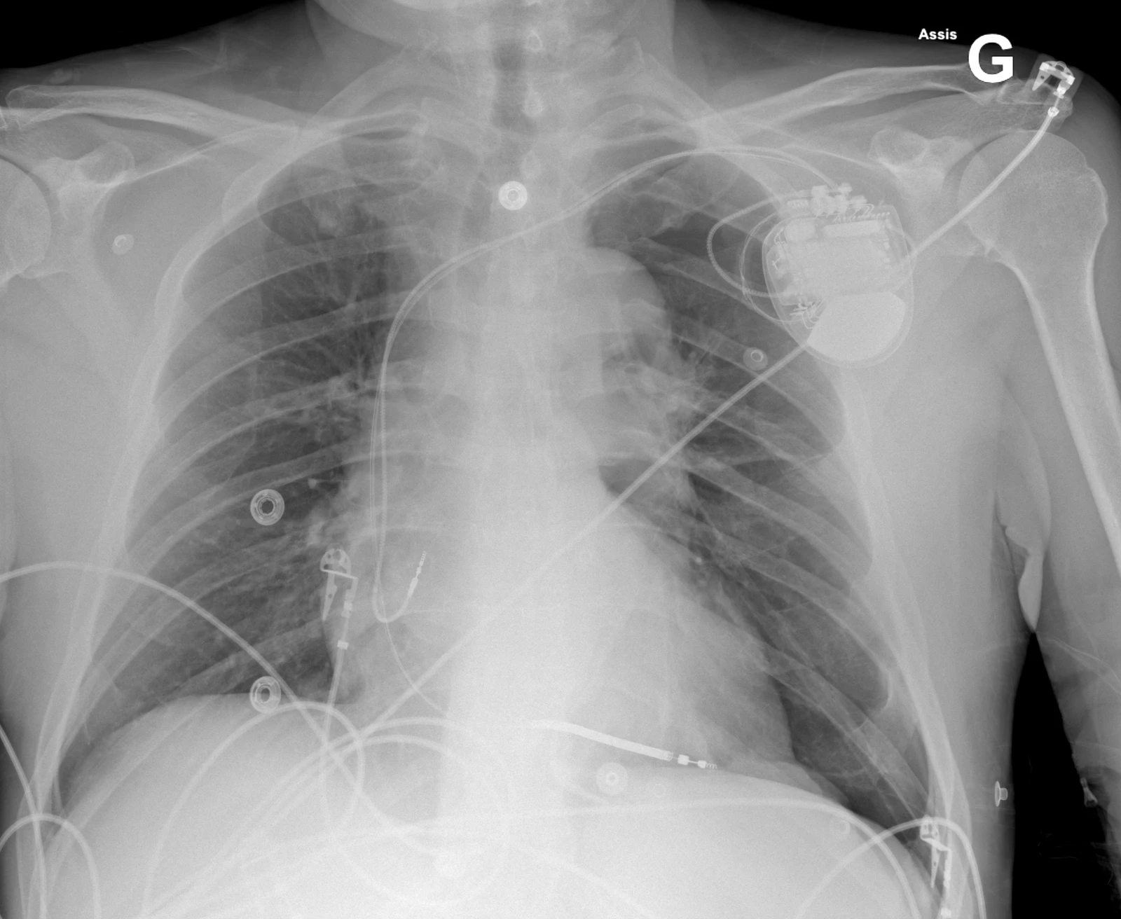
Cette radiographie du thorax a été faite chez un patient se plaignant de douleur thoracique gauche quelques heures après la pose d’un pacemaker (PM). Plusieurs complications peuvent survenir après la pose d’un PM. Le pneumothorax est une complication de l’accès vasculaire lors de l’implantation avec une fréquence de 0.9-1.3%. Les facteurs de risques sont l’âge (> 80 ans), sexe féminin, BPCO sous-jacente, PM double chambre. Le pneumothorax est une complication qui survient durant la pose du PM mais peut ne pas être reconnue immédiatement. Les patient·es se présentent avec des douleurs thoraciques respiro-dépendantes ipsilatérales au boitier du PM et une dyspnée.  Le traitement dépendra de la taille du pneumothorax et des comorbidités de la ou du patient·e. Les petits pneumothorax (< 2 cm) sont plutôt traitement conservativement. En général, un pneumothorax de > 2 cm devra être drainé.

Cette radiographie a été prise chez le même patient après la pose d’un drain thoracique à gauche et montre une disparition radiologique du pneumothorax.

A noter qu’on utilisera si possible un drain de petit calibre (≤ 14 Fr). La voie antérieure (ligne médioclaviculaire) utilisée pour exsuffler un pneumothorax en urgence peu également être utilisée pour poser un drain (de préférence de petit calibre), offrant l’avantage de poser le drain à l’endroit où se trouve l’air. En cas de pose de PM récente, ce dernier peut gêner l’abord antérieur.

Les autres complications de la pose d’un PM sont la péricardite (rare), la perforation cardiaque (rare mais sérieuse), les évènements thrombo-emboliques, les hématomes et infections au niveau du boitier, les troubles du rythmes induits par le PM ou les chocs inapproprié en cas de PM-défibrillateur.

Image proposée par Florine Bachmann (HRC Rennaz) et Perrine Truong (CHUV)