Image
Fracture open-book
22.05.2025

Un patient de 46 ans se présente aux urgences en marchant avec des béquilles, pour des douleurs pelviennes consécutives à une chute à ski avec réception ventrale, à cinétique modérée. À son admission, le patient est hémodynamiquement stable mais nécessite une analgésie de palier 3 avec administration de morphine par voie intraveineuse. À l’examen clinique, on note un hématome et une douleur à la palpation de la région sus-pubienne. La palpation trochantérienne, du rachis et du sacrum sont indolores. L’examen neuro-vasculaire des membres inférieurs est normal de même que le reste de l'examen ostéo-articulaire et neurologique du patient.

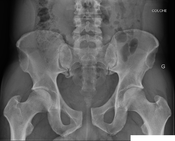
La radiographie du bassin de face révèle une fracture de type open book (« livre ouvert ») avec un élargissement de 22 mm au niveau de la symphyse pubienne : 

Une ceinture pelvienne est rapidement mise en place. Le bilan d’extension par scanner injecté du bassin ne montre aucune lésion ligamentaire postérieure ni fracture associée, ni aucun signe de saignement actif mais un hématome des tissus mous adjacent à la symphyse pubienne. Le bilan sanguin ne révèle pas d’anémie ou trouble de la coagulation. Le patient est transféré au bloc opératoire pour une fixation chirurgicale du bassin.

Les fractures pelviennes résultent des différentes forces qui s’exercent sur l’anneau pelvien lors d’un traumatisme. Ces forces sont classées en trois types principaux, souvent associées à divers degrés. Dans le cas décrit, il s’agit d’une force antéro-postérieure exercée lors d’une percussion frontale du pelvis. Cette force provoque une rupture antérieure de l’anneau pelvien par fracture des branches ilio- et ischio-pubiennes, ou par une ouverture antérieure du bassin au niveau de la symphyse pubienne, associée à une rotation externe d’un hémi-bassin. Cette configuration correspond à une fracture de type open book (« livre ouvert »).

Le degré de rotation externe, et donc l’ampleur de l’ouverture de la symphyse pubienne, détermine l’étendue des atteintes postérieures. En général, pour un diastasis pubien inférieur ou égal à 2,5 cm, les ligaments sacro-iliaques antérieurs restent intacts. Cependant, lorsque le diastasis dépasse 2,5 cm, les ligaments sacro-iliaques antérieurs sont fréquemment rompus, tandis que les ligaments sacro-iliaques postérieurs restent préservés, entraînant une instabilité horizontale.

Le risque hémorragique varie selon le type de fracture. Il est plus élevé dans les lésions verticales par cisaillement, suivi par les fractures antéro-postérieures (notamment de type open book), puis par les fractures par compression latérale.

L’utilisation d’une ceinture pelvienne est particulièrement indiquée dans les fractures de type B selon la classification de Tile, ou dans les fractures « open book », car elle permet une fermeture du bassin. Toutefois, l’efficacité de la ceinture dans les différents types de fractures pelviennes reste à mieux définir.

L’échographie eFAST joue un rôle important dans le diagnostic des traumatismes graves. Au niveau du bassin, elle permet d’identifier un diastasis de la symphyse pubienne. Une largeur supérieure à 25 mm indiquerait une fracture de type « open book » instable.

Image proposée par le Réseau hospitalier neuchâtelois, RHNe.