Image
Bras de fer
15.09.2022

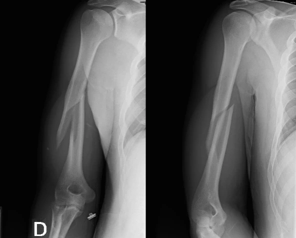
Le bras de fer, pratique sportive bien connue, n’est pas dénuée de risque ! Ce sont le plus souvent des lésions musculaires (épaule) et des douleurs articulaires (poignet, coude) qui surviennent, mais différentes fractures sont également décrites dans la littérature : fracture spiroïde de la diaphyse humérale (la plus fréquente, comme ici) avec parfois un fragment libre (butterfly fragment), fractures de l’épicondyle huméral médial, factures de la tête radiale avec luxation antérieure, voire fractures de la diaphyse radiale.

Des lésions de l’artère brachiale et du nerf radial peuvent être associée à de telles fractures humérales.

Lors du bras de fer, le coude est fixé à 90° environ par le muscle biceps brachial et le muscle brachial et un mouvement de rotation interne de l’épaule (contre l’adversaire) est appliquée principalement grâce aux muscles grand pectoral, sub-scapulaires et grand rond. Lorsqu’on commence à perdre le bras de fer, ces muscles de l’épaule subissent une contraction excentrique (se contractent tout en étant étirés puisque l’épaule du perdant se met progressivement en rotation externe). Ceci engendre une forte force de torsion sur l’humérus et peut-être la cause de fracture spiroïde de la diaphyse humérale.

Le traitement peut être conservateur (en l’absence de lésions associées) ou chirurgical.