Quiz
Question n° 137
25.08.2025

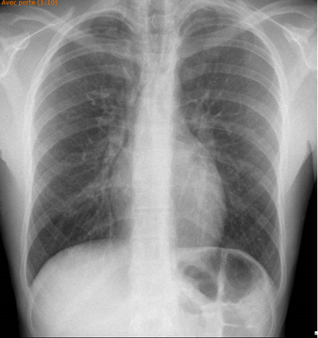
Un patient de 20 ans se présente aux urgences suite à l’apparition d’une douleur cervicale survenue après un éternuement. Il décrit une sensation de clic à la déglutition, sans dyspnée.

A son arrivée aux urgences, il est hémodynamiquement stable avec TA 126/76 mmHg, FC 85 bpm, sat 96% à l'air ambiant, eupnéique et afébrile. L’examen cardiopulmonaire est normal.

Voici sa radiographie du thorax :

Quel est ton diagnostic ?