Quiz
Question n° 112
20.01.2025

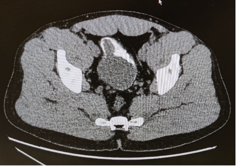
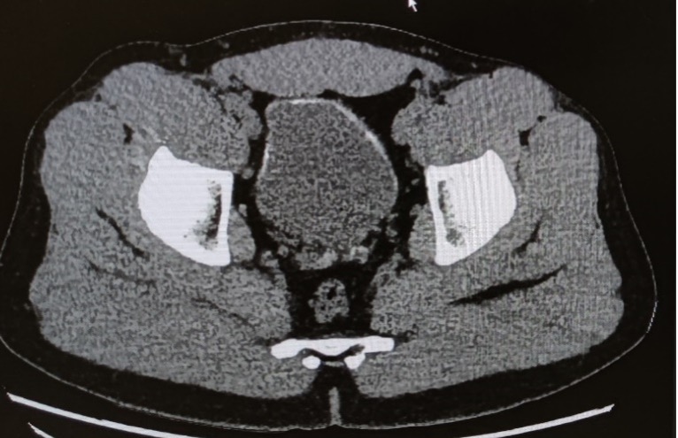
Une patiente de 34 ans, originaire d’Afrique équatoriale, en Suisse depuis 3 mois, est admise pour une douleur abdominale de la fosse iliaque gauche évoluant depuis 48h, sans défense au status. Le laboratoire met en évidence un syndrome inflammatoire. Au vu de la suspicion clinique d’une diverticulite non compliquée, un CT-scanner abdominal est réalisé.

Tu regardes les images immédiatement avec la chirurgienne, qui te confirme la présence d’un diverticule enflammé correspondant à une diverticulite Hinchey Ia. Dans l’attente des suites à donner à ce diagnostic de diverticulite, tu vois également cette image au niveau de la vessie :

Quelle suite de prise en charge organises-tu ?