Quiz
Question n° 127
12.05.2025

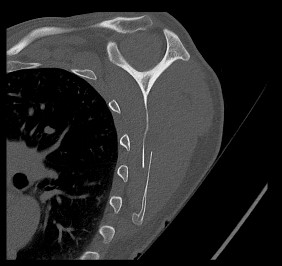
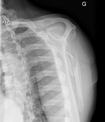
Un homme de 51 ans, en bonne santé, se présente aux urgences suite à une chute à vélo à faible vélocité. Le patient, propulsé par-dessus le guidon, s’est réceptionné sur l’épaule gauche. Il présente une déformation visible de l'omoplate gauche avec limitation douloureuse de la mobilité du membre supérieur gauche, sans déficit neurologique ou vasculaire. L'examen clinique des articulations acromio-claviculaire, gléno-humérale, ainsi que du rachis et du thorax sont sans anomalie. 

Concernant les fractures de l'omoplate (scapula), quelle affirmation est correcte ?